Skip to content

  • ΑΡΧΙΚΗ
  • ΠΛΗΡΟΦΟΡΙΕΣ
    • ΒΙΟΓΡΑΦΙΚΟ ΣΗΜΕΙΩΜΑ
    • ΕΚΠΑΙΔΕΥΤΙΚΑ ΠΡΟΓΡΑΜΜΑΤΑ
    • ΣΥΝΕΔΡΙΑ/ΣΕΜΙΝΑΡΙΑ
    • ΔΙΑΛΕΞΕΙΣ
    • ΔΗΜΟΣΙΕΥΣΕΙΣ
    • ΔΙΔΑΚΤΟΡΙΚΗ ΔΙΑΤΡΙΒΗ
  • ΧΕΙΡΟΥΡΓΙΚΕΣ ΕΠΕΜΒΑΣΕΙΣ
    • ΑΡΘΡΟΣΚΟΠΙΚΗ ΧΕΙΡΟΥΡΓΙΚΗ
    • ΕΠΑΝΟΡΘΩΤΙΚΗ ΧΕΙΡΟΥΡΓΙΚΗ ΑΡΘΡΩΣΕΩΝ
    • ΧΕΙΡΟΥΡΓΙΚΗ ΑΝΩ ΑΚΡΟΥ
    • ΤΡΑΥΜΑΤΟΛΟΓΙΑ
    • ΧΕΙΡΟΥΡΓΙΚΗ ΚΑΤΩ ΑΚΡΟΥ
    • ΧΕΙΡΟΥΡΓΙΚΗ ΣΠΟΝΔΥΛΙΚΗΣ ΣΤΗΛΗΣ
  • ΝΕΕΣ ΣΥΓΧΡΟΝΕΣ ΧΕΙΡΟΥΡΓΙΚΕΣ ΤΕΧΝΙΚΕΣ
    • ΣΥΝΔΕΣΜΟΠΛΑΣΤΙΚΗ ΠΡΟΣΘΙΟΥ ΧΙΑΣΤΟΥ ΣΥΝΔΕΣΜΟΥ ΜΕ ΤΕΧΝΙΚΗ ALL-INSIDE
    • ΑΠΟΚΑΤΑΣΤΑΣΗ ΟΣΤΕΟΧΟΝΔΡΙΝΩΝ ΒΛΑΒΩΝ ΜΕ ΕΓΧΥΣΗ CHONDROFILLER
    • ΠΡΟΣΘΙΟΠΛΑΓΙΑ ΕΞΩ ΠΡΟΣΠΕΛΑΣΗ ΟΛΙΚΗΣ ΑΡΘΡΟΠΛΑΣΤΙΚΗΣ ΙΣΧΙΟΥ ΕΛΑΧΙΣΤΗΣ ΕΠΕΜΒΑΤΙΚΟΤΗΤΑΣ (ALMIS)
    • ΕΞΑΤΟΜΙΚΕΥΜΕΝΗ ΟΛΙΚΗ ΑΡΘΡΟΠΛΑΣΤΙΚΗ ΓΟΝΑΤΟΣ ΜΕ ΡΟΜΠΟΤΙΚΗ ΤΕΧΝΙΚΗ
    • ΔΙΟΡΘΩΣΕΙΣ ΠΑΡΑΜΟΡΦΩΣΕΩΝ ΔΑΚΤΥΛΩΝ ΠΟΔΙΩΝ ΕΛΑΧΙΣΤΗΣ ΕΠΕΜΒΑΤΙΚΟΤΗΤΑΣ
    • ΧΕΙΡΟΥΡΓΙΚΗ ΑΠΟΚΑΤΑΣΤΑΣΗ ΣΚΟΛΙΩΣΗΣ ΕΛΑΧΙΣΤΗΣ ΕΠΕΜΒΑΤΙΚΟΤΗΤΑΣ ΜΕ APIFIX
    • ΔΙΑΔΕΡΜΙΚΗ ΑΠΟΚΑΤΑΣΤΑΣΗ ΔΙΣΚΟΚΗΛΗΣ – ΔΙΣΚΟΠΛΑΣΤΙΚΗ ΜΕ DISCOGEL
    • ΔΙΑΔΕΡΜΙΚΗ ΑΠΟΚΑΤΑΣΤΑΣΗ ΑΛΓΟΥΣ ΚΑΙ ΚΙΝΗΤΙΚΟΤΗΤΑΣ ΑΡΘΡΩΣΕΩΝ ΜΕ ΡΑΔΙΟΣΥΧΝΟΤΗΤΕΣ
  • ΚΑΙΝΟΤΟΜΕΣ ΒΙΟΛΟΓΙΚΕΣ ΘΕΡΑΠΕΙΕΣ
    • ΘΕΡΑΠΕΙΑ ΜΕ ΑΥΤΟΛΟΓΟΥΣ ΑΥΞΗΤΙΚΟΥΣ ΠΑΡΑΓΟΝΤΕΣ PRGF-PRP
    • ΘΕΡΑΠΕΙΑ ΜΕ ΒΛΑΣΤΟΚΥΤΤΑΡΑ BMC
  • ΕΠΙΚΟΙΝΩΝΙΑ
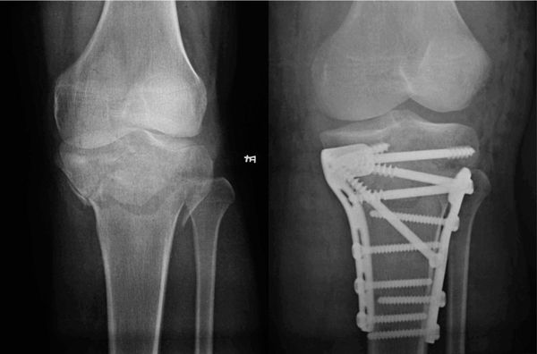
Upload Date: March 31, 2019 Full Size Image Dimensions: 600 × 396 Image Parent Post: Κατάγματα κάτω άκρου

7.Εσωτερική οστεοσύνθεση κατάγματος κνημιαίων κονδύλων

Like Loading...

ΚΑΙΝΟΤΟΜΙΕΣ

  • ΘΕΡΑΠΕΙΑ ΜΕ ΑΥΤΟΛΟΓΟΥΣ ΑΥΞΗΤΙΚΟΥΣ ΠΑΡΑΓΟΝΤΕΣ PRGF-PRP

  • ΘΕΡΑΠΕΙΑ ΜΕ ΒΛΑΣΤΟΚΥΤΤΑΡΑ PA BMC

ΕΝΗΜΕΡΩΤΙΚΑ ΦΥΛΛΑΔΙΑ

  • ΠΡΩΤΟΚΟΛΛΑ ΜΕΤΕΓΧΕΙΡΗΤΙΚΗΣ ΑΠΟΚΑΤΑΣΤΑΣΗΣ
  • ΑΣΚΗΣΕΙΣ

 

 

 

ΔΙΟΡΘΩΣΕΙΣ ΠΑΡΑΜΟΡΦΩΣΕΩΝ ΔΑΚΤΥΛΩΝ ΠΟΔΙΩΝ ΕΛΑΧΙΣΤΗΣ ΕΠΕΜΒΑΤΙΚΟΤΗΤΑΣ

Με την καινούργια αυτή τεχνική ελάχιστης επεμβατικότητας (Minimally Invasive Surgery) η χειρουργική επέμβαση … Διαβάστε περισσότερα

ΟRAMA MEDICAL CENTER
Οδός Κυψέλης, 44, 4044, Γερμασόγεια
Τηλ.: +357 25382526, +357 99432458, 77771311
email: v.constantinou@orama.com.cy
www.orama.com.cy
  • LinkedIn
Create a website or blog at WordPress.com Automattic.
  • Subscribe Subscribed
    • drvasosconstantinou.com
    • Already have a WordPress.com account? Log in now.
    • drvasosconstantinou.com
    • Subscribe Subscribed
    • Sign up
    • Log in
    • Copy shortlink
    • Report this content
    • View post in Reader
    • Manage subscriptions
    • Collapse this bar
%d